TL;DR
- Wisdom tooth removal is typically a surgical procedure performed under anaesthesia.
- The procedure itself is painless, although you might feel some pressure during instrumentation.
- Recovery usually takes 5–7 days for most patients; more complex cases may take up to 14 days.
- Eating a soft diet, practising gentle oral hygiene, and resting help minimise complications and encourage faster healing.
- The cost of private wisdom tooth removal in the UK generally ranges from £200 to £1200 per tooth.
Is Wisdom Tooth Removal Painful?
Although wisdom tooth removal is one of the most common oral surgeries, many patients fear it due to its surgical nature. Naturally, questions about pain and discomfort are among the first concerns we hear at Dental & Wellness London.
The good news is that with modern anaesthesia, the procedure is virtually painless. Some patients only feel slight pressure or tugging during instrumentation, and with proper aftercare, recovery is generally straightforward.
This comprehensive guide will walk you through the entire wisdom tooth removal process, from diagnosis to healing, and provide insights on recovery timelines, costs, and aftercare.

Why Do Wisdom Teeth Need to Be Removed?
Wisdom teeth (third molars) are the last teeth to erupt, usually between the ages of 17 and 25. Majority of the time, they erupt normally and don’t need removal. However, extraction is often recommended when they cause issues:
- Eruptive problems: Limited space may cause partial eruption, leaving gum tissue over the tooth. This pocket can trap bacteria and food, often leading to painful pericoronitis (infection).
- Prevention of health problems: Impacted wisdom teeth are linked to cysts, decay, or gum disease in nearby teeth.
- Orthodontic reasons: Removing wisdom teeth may create space for orthodontic treatment.
- Pain, swelling, or infection: Abscesses around wisdom teeth need urgent removal.
- Shifting of other teeth: Impacted wisdom teeth can push on nearby teeth, causing crowding or misalignment.
Procedure for Wisdom Tooth Removal
The extraction of wisdom teeth is a well-planned procedure that is typically undertaken by an oral surgeon.
1. Diagnosis and Planning
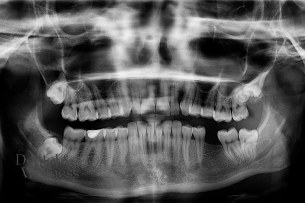
The process starts with a clinical exam and radiographs (usually X-rays or OPG scans). These help dentists evaluate the tooth’s position, level of impaction, and closeness to nerves or sinuses.

2. Pre-Operative Phase
Sedation or anaesthesia options are chosen based on the case’s complexity and patient preference:
- Local anaesthesia: Numbs only the treatment area; the patient stays awake.
- Conscious sedation (IV or oral): Keeps the patient relaxed and less aware but responsive.
- General anaesthesia: Used in hospital settings for impacted or complex extractions. The patient is fully asleep.
If sedation beyond local anaesthesia is used, arrange for someone to take you home. Avoid driving until the effects wear off.
3. Extraction Process
- Simple extraction: If the tooth has fully erupted, it can often be removed with minimal intervention.
- Surgical extraction: If impacted (partially or fully trapped in the jawbone or gums), a flap is cut, some bone may be taken out, and the tooth is divided into smaller pieces for extraction.
4. Post-Extraction Phase
After removal, the area is cleaned, and sutures may be used. A gauze pad is placed over the site to control bleeding. Patients are observed briefly before discharge.
Wisdom Tooth Removal: Healing Timeline
Healing varies based on how complex the case is, but generally follows this pattern:
First 24 hours:
- Mild bleeding and oozing are normal. Bite gently on the gauze.
- Pain and discomfort are manageable with prescribed medications.
- Avoid rinsing, spitting, or using a straw to prevent dry socket.
Days 2–3:
Swelling peaks but then starts to decline.
Days 4–7:
- Sutures (if placed) begin to dissolve.
- Pain and swelling decrease significantly.
- Light activities can be resumed.
Days 7–14:
- Soft tissue heals; tenderness reduces.
- Most patients feel completely comfortable by the second week.
6–8 weeks:
The socket gradually fills in as bone remodelling occurs, and the site is fully restored once the wisdom tooth removal has healed.
Contact an emergency dentist in Islington immediately if you experience persistent bleeding, fever, or worsening swelling after 3–4 days.
Aftercare Tips for Smooth Wisdom Tooth Removal Recovery
Following instructions carefully is mandatory to ensure a quick wisdom tooth removal recovery:
- Avoid smoking or tobacco use for at least 72 hours.
- Use ice packs intermittently to minimise swelling (20 minutes on, 20 minutes off).
- Stick to a soft diet (soups, smoothies, mashed potatoes, yoghurt, oatmeal). Avoid crunchy, spicy, or hot foods initially.
- Use warm saline rinses after 24 hours to keep the mouth clean and promote healing.
- Avoid strenuous activity or heavy lifting for 48 to 72 hours.
Cost of Wisdom Tooth Removal in the UK
In the UK, the cost of wisdom tooth removal at private clinics typically ranges from £200 to £600 per tooth. The final price depends on several factors, such as:
- Case complexity (simple vs surgical extraction)
- Type of anaesthesia used
- Geographic location of the clinic
Final Thoughts
Wisdom tooth removal may sound intimidating, but it is a routine and safe procedure when performed by experienced dentists. With proper aftercare, healing is smooth and complications are rare.
If you’re experiencing discomfort or have been advised to remove your wisdom teeth, Dental & Wellness London provides expert, gentle, and stress-free care. Our dentist in Islington ensures a comfortable procedure and provides personalised aftercare guidance for smooth recovery.
To book a consultation, give us a call at 02081274567 or visit 222 Essex Rd, London N1 3AP, United Kingdom.
FAQs
Can I smoke after wisdom tooth removal?
No. Avoid smoking for at least 72 hours. Smoking interferes with healing and significantly increases the risk of dry socket.
How long does recovery take?
Most patients recover in 7–14 days, depending on the surgical complexity. Bone healing continues for months, but soft tissue closure occurs within 1–2 weeks.
How long will the swelling last?
Swelling peaks within 48–72 hours and subsides naturally within 3–5 days.
What should I expect in the first 24 hours?
Slight oozing is normal. Bite gently on gauze to control bleeding. If bleeding persists or is excessive, contact your dentist immediately.
How long should I wait after tooth removal to eat?
You should wait until the effect of anaesthesia wears off to avoid accidentally biting your tongue or cheek. It is best to start with a soft diet such as soups, yoghurt, mashed potatoes, or smoothies. Make sure the food is lukewarm rather than very hot to prevent bleeding or irritation at the extraction site.